インビザライン矯正(マウスピース矯正)の症例紹介| 叢生(前歯のでこぼこ)の症状|抜歯による矯正治療|治療期間は1年11か月(神奈川県川崎市・20代女性 )
●治療法:
インビザライン
●抜歯:
上2本(小臼歯)
●治療期間:
1年11か月
●費用:
約60万円(調整費、保定費まで含む総額制)
●リスク・副作用:
痛み・治療後の後戻り・歯根吸収・歯髄壊死・歯肉退縮
ーーーーーーーーーーーーーーーーーーーーーーー
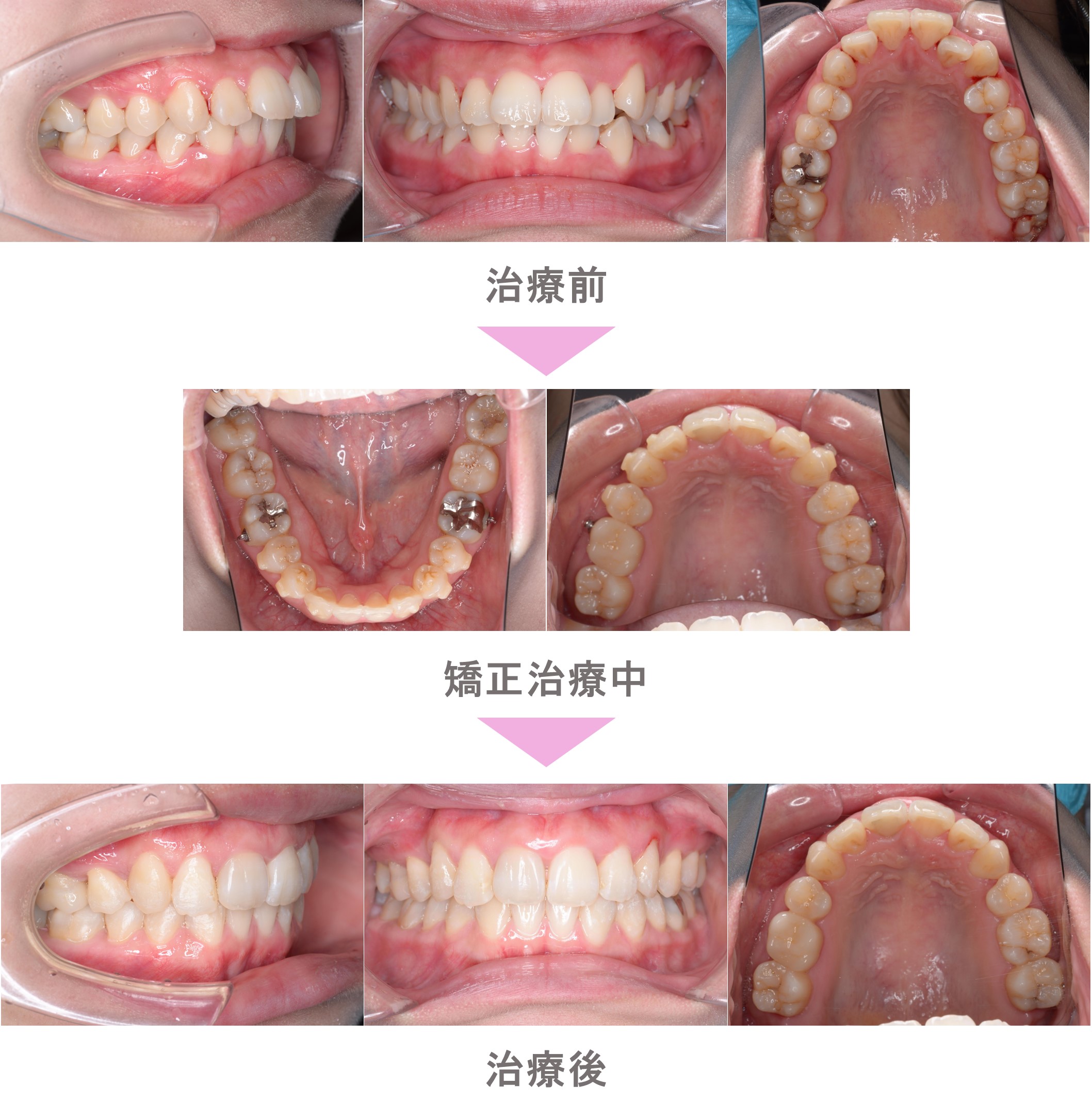
インビザライン矯正(マウスピース矯正)の症例のご紹介です。この患者様は、神奈川県川崎市内からご来院の20代女性で、上の歯が出ていることと、歯のでこぼこと、前歯が咬み合わないこと、口元が出ている事が気になりご来院されました。叢生(前歯のでこぼこ)の症状があり、ワイヤー矯正よりも通院回数が少ないインビザラインにて治療しました。治療期間は1年11か月です。咬み合わせも整い、横から見た時の前歯の印象が大きく変わりました。綺麗な歯並びになりました。
当院ではできる限り非抜歯での治療を目指しておりますが、症状によっては抜歯による矯正治療を行う方が良い場合があります。
歯並びのことでお悩みなどがある場合には、是非当院までご相談ください。初診相談は無料です。
矯正治療の流れ(初診相談~メインテナンスまで)
https://futakost-ortho.com/flow







