インビザライン矯正(マウスピース矯正)の症例紹介| 八重歯(犬歯突出)と叢生(前歯のでこぼこ)の症状|抜歯による矯正治療|治療期間は2年3か月(東京都豊島区・20代男性 )
●治療法:
インビザライン
●抜歯:
上2本(大臼歯)
●治療期間:
2年3か月
●費用:
約60万円(調整費、保定費まで含む総額制)
●リスク・副作用:
痛み・治療後の後戻り・歯根吸収・歯髄壊死・歯肉退縮
ーーーーーーーーーーーーーーーーーーーーーーー
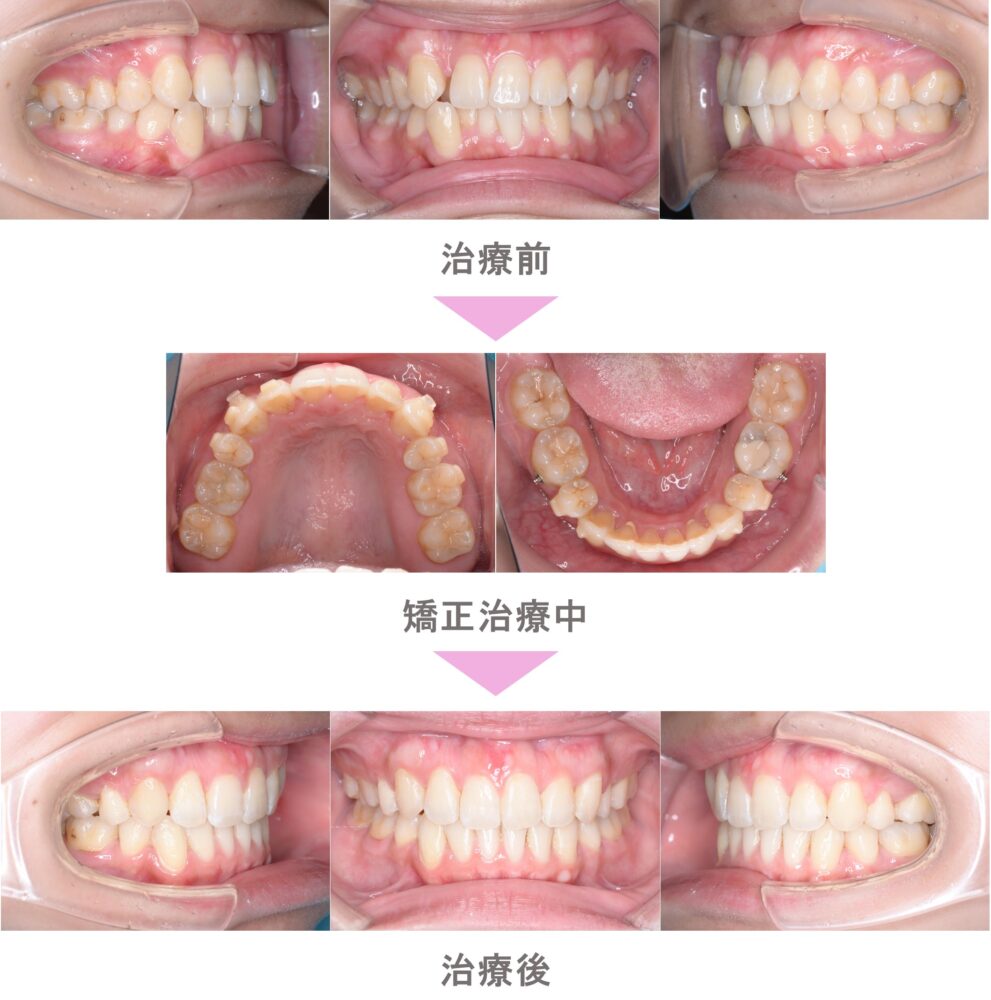
インビザライン矯正(マウスピース矯正)の症例のご紹介です。この患者様は、東京都豊島区内からご来院の20代男性で、歯のでこぼこが気になりご来院されました。八重歯(犬歯突出)と叢生(前歯のでこぼこ)の症状があり、ナイトガードの役割にもなってくれるインビザラインにて治療しました。治療期間は2年3か月です。咬み合わせが整い、綺麗な歯並びになりました。
当院ではできる限り非抜歯での治療を目指しておりますが、症状によっては抜歯による矯正治療を行う方が良い場合があります。
歯並びのことでお悩みなどがある場合には、是非当院までご相談ください。初診相談は無料です。
矯正治療の流れ(初診相談~メインテナンスまで)
https://futakost-ortho.com/flow







