インビザライン矯正(マウスピース矯正)の症例紹介|成人の正中のずれ(前歯の中心のずれ)と切端咬合(ぶつかる咬み合わせ)と叢生(前歯のでこぼこ) の症状|抜歯による矯正治療|治療期間は3年(東京都品川区・30代女性 )
●治療法:
インビザライン
●抜歯:
上2本、下2本(小臼歯)
●治療期間:
3年
●費用:
約50万円(調整費、保定費まで含む総額制)
●リスク・副作用:
痛み・治療後の後戻り・歯根吸収・歯髄壊死・歯肉退縮
ーーーーーーーーーーーーーーーーーーーーーーー
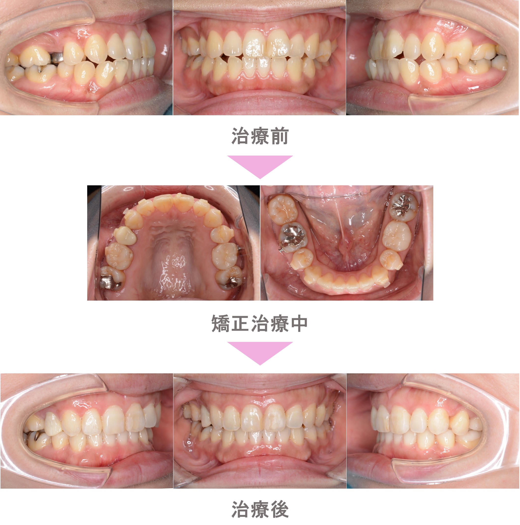
インビザライン矯正(マウスピース矯正)の症例のご紹介です。この患者様は、東京都品川区内からご来院の30代女性で、奥歯の咬み合わせと、口元が出ていることが気になりご来院されました。成人の正中のずれ(前歯の中心のずれ)と切端咬合(ぶつかる咬み合わせ)と叢生(前歯のでこぼこ)の症状があり、ワイヤー矯正より痛みの少ないインビザラインにて治療しました。治療期間は3年です。上下の咬み合わせが整い、綺麗な歯並びになりました。
当院ではできる限り非抜歯での治療を目指しておりますが、症状によっては抜歯による矯正治療を行う方が良い場合があります。
歯並びのことでお悩みなどがある場合には、是非 二子玉川駅前矯正歯科までご相談ください。初診相談は無料です。
矯正治療の流れ(初診相談~メインテナンスまで)
https://futakost-ortho.com/flow





