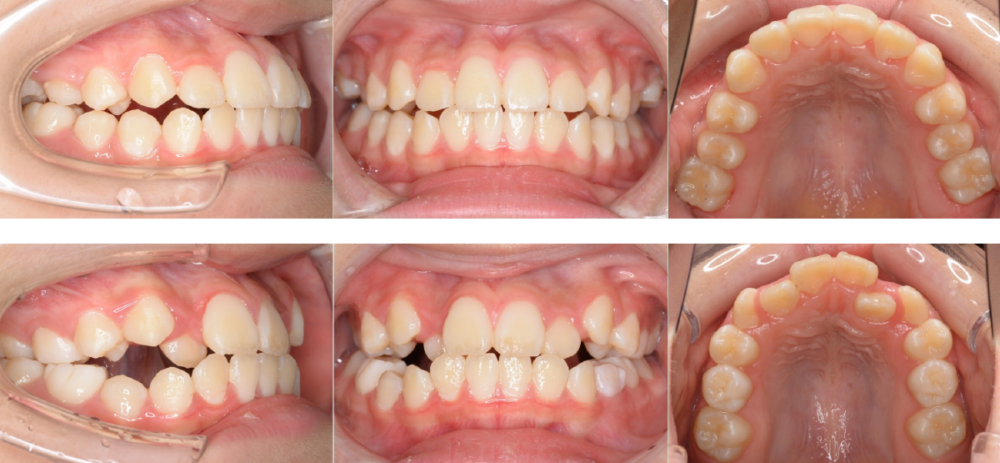
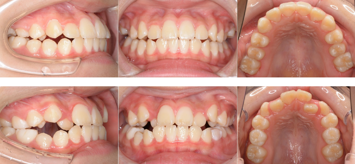
centerzure_4