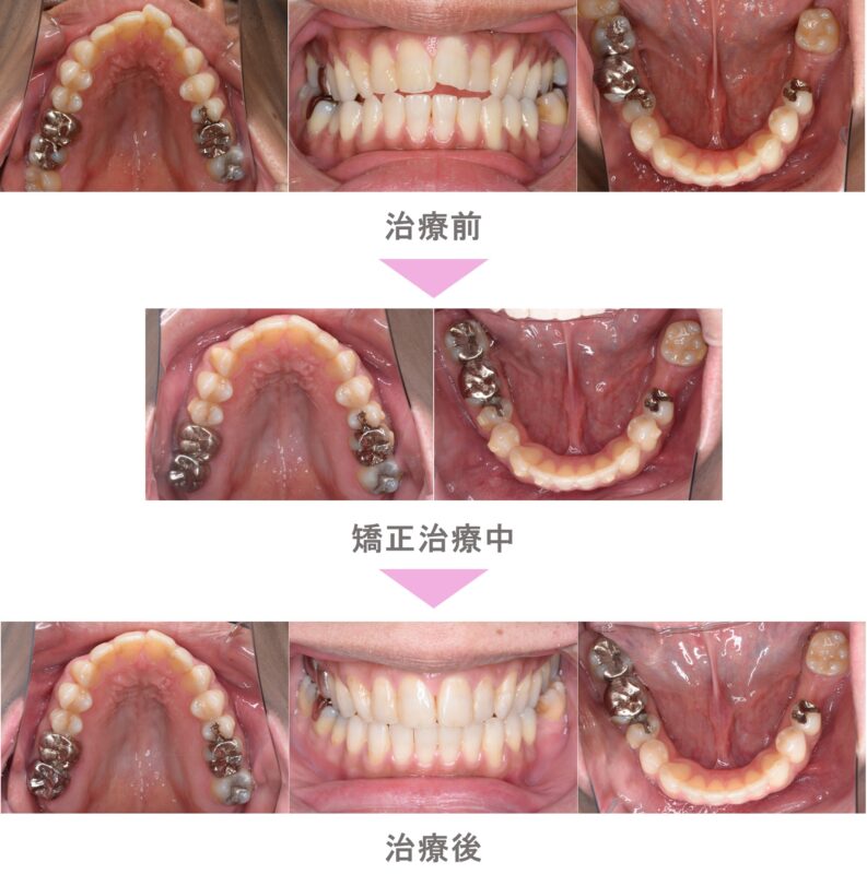
開咬(オープンバイト)