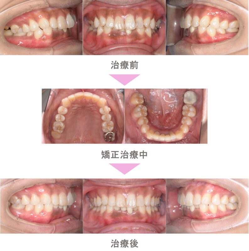
過蓋咬合(深噛み)