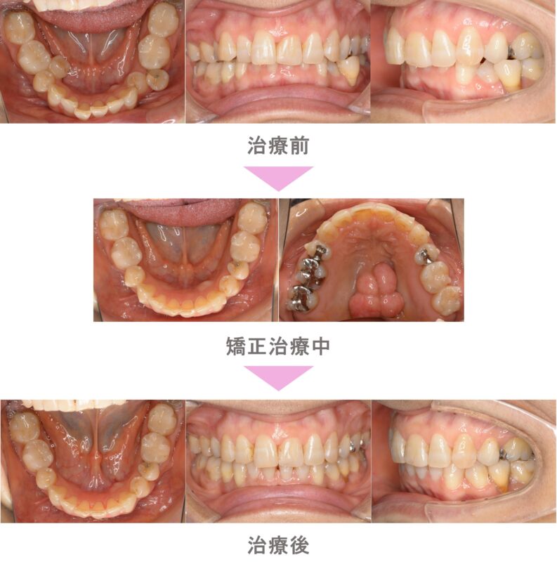
インビザライン(抜歯を伴う治療例)