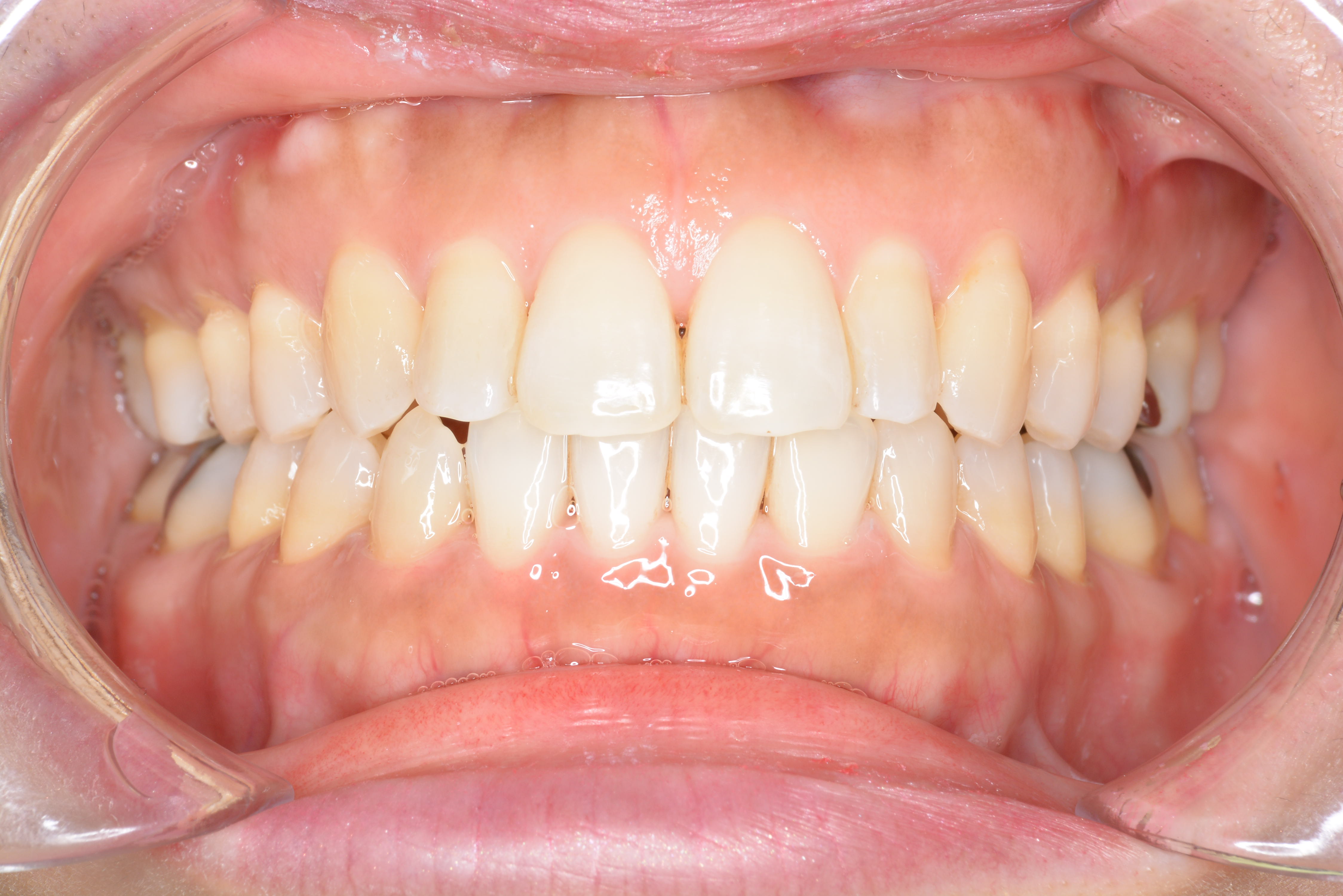
矯正治療が終了した患者様(前歯のでこぼこ・叢生・非抜歯・治療期間9か月)
矯正治療が終了した患者様をご紹介致します。
治療期間は9ヶ月です。
患者様と一緒に(^^♪
長期間の矯正治療、本当にお疲れ様でした。
サッカーと同じくらいリテーナーも頑張って使って下さいね(*^▽^*)
二子玉川でインビザライン矯正・裏側矯正なら「二子玉川駅前矯正歯科」
矯正治療が終了した患者様をご紹介致します。
治療期間は9ヶ月です。
患者様と一緒に(^^♪
長期間の矯正治療、本当にお疲れ様でした。
サッカーと同じくらいリテーナーも頑張って使って下さいね(*^▽^*)