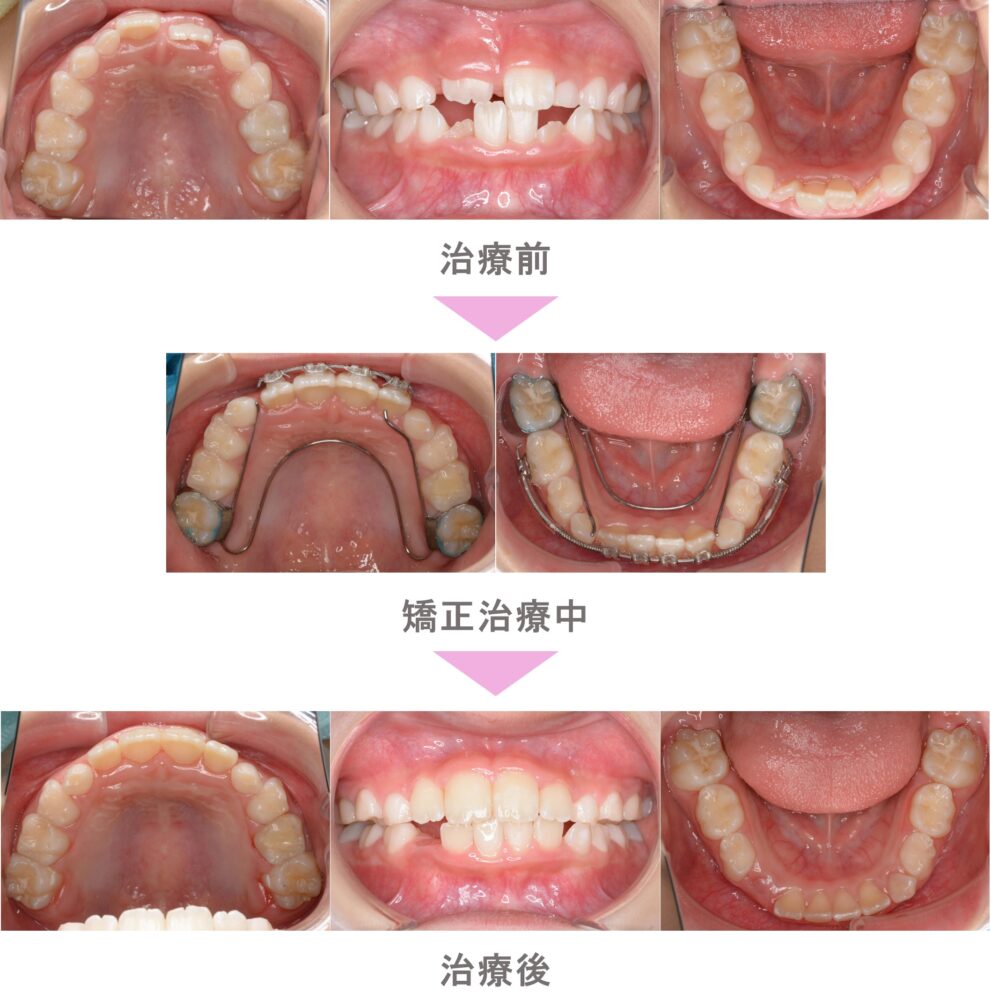
小児矯正(子供矯正)の症例紹介|叢生(前歯のでこぼこ)の症状|非抜歯による矯正治療|治療期間は2年2か月(東京都世田谷区・小学生女子)
●治療法:
小児矯正(子供矯正)
●非抜歯
●治療期間:
2年2か月
●費用:
約30万円(調整費、保定費まで含む総額制)
●リスク・副作用:
痛み・治療後の後戻り・歯根吸収・歯髄壊死・歯肉退縮
ーーーーーーーーーーーーーーーーーーーーーーー
小児矯正(子供矯正)の症例のご紹介です。この患者様は、東京都世田谷区内からご来院の小学生女子で、叢生(前歯のでこぼこ)の症状がありました。治療法は小児矯正。上下の側方拡大を行い萌出スペースを確保し、前歯部の配列を行いました。
側方歯交換まで経過観察が必要です。治療期間は2年2か月です。
当院ではできる限り非抜歯での治療を目指しておりますが、症状によっては抜歯による矯正治療を行う方が良い場合があります。
歯並びのことでお悩みなどがある場合には、是非当院までご相談ください。初診相談は無料です。
矯正治療の流れ(初診相談~メインテナンスまで)
https://futakost-ortho.com/flow





