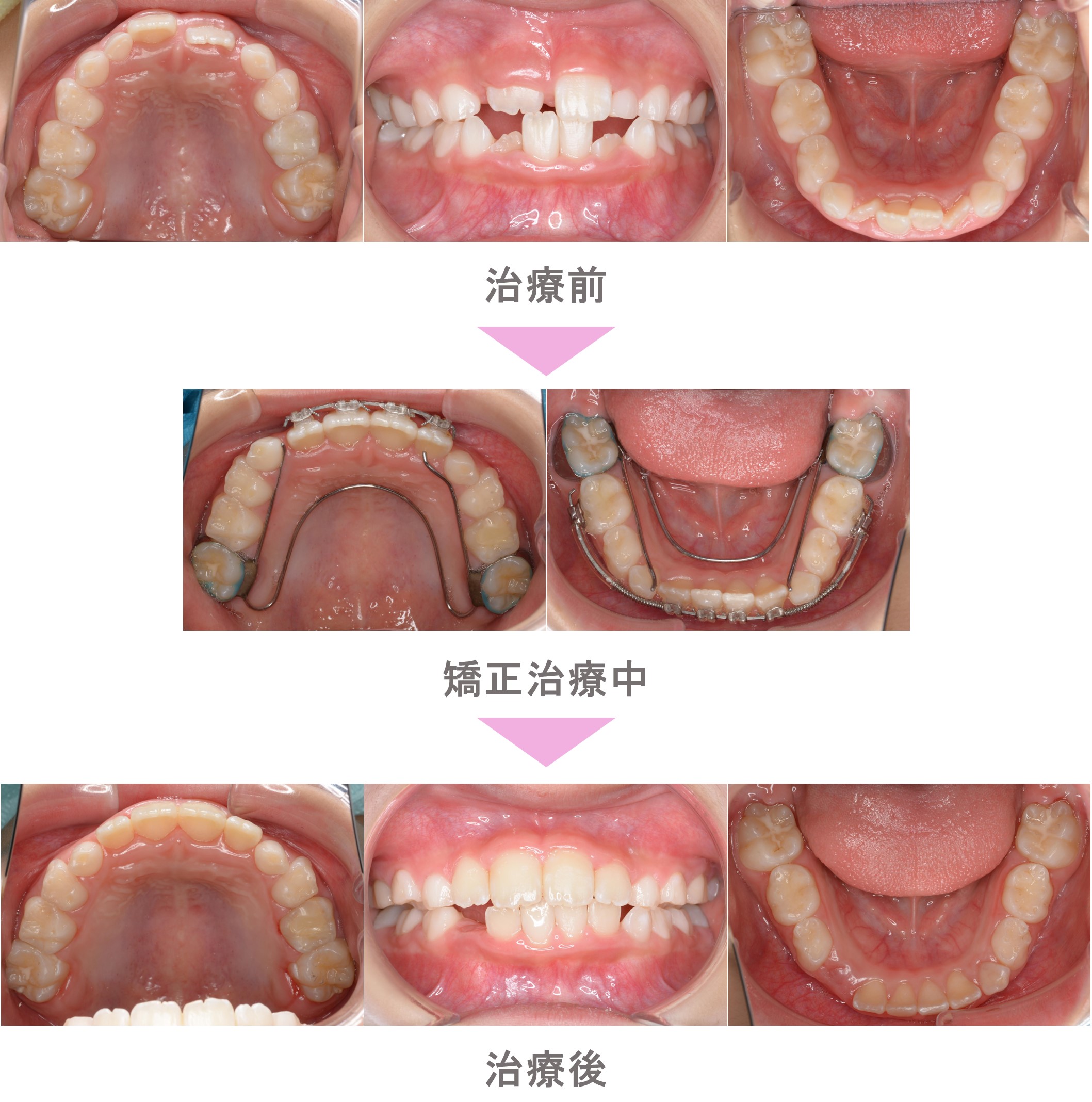
小児矯正(子供矯正)の症例紹介|叢生(前歯のでこぼこ)の症状|非抜歯による矯正治療|治療期間は1年5か月(東京都目黒区・小学生女子)
●治療法:
小児矯正(子供矯正)
●非抜歯
●治療期間:
1年5か月
●費用:
約25万円(調整費、保定費まで含む総額制)
●リスク・副作用:
痛み・治療後の後戻り・歯根吸収・歯髄壊死・歯肉退縮
ーーーーーーーーーーーーーーーーーーーーーーー
小児矯正(子供矯正)の症例のご紹介です。この患者様は、東京都目黒区からご来院の小学生女子で、叢生(前歯のでこぼこ)の症状がありました。治療法は小児矯正。上下に固定式矯正装置を用い側方拡大を行い萌出スペースを確保しました。側方歯交換に伴い歯列が乱れた場合は、二期治療が必要になります。治療期間は1年5か月です。
当院ではできる限り非抜歯での治療を目指しておりますが、症状によっては抜歯による矯正治療を行う方が良い場合があります。
歯並びのことでお悩みなどがある場合には、是非当院までご相談ください。初診相談は無料です。
矯正治療の流れ(初診相談~メインテナンスまで)
https://futakost-ortho.com/flow





