インビザライン矯正(マウスピース矯正)の症例紹介|八重歯(犬歯突出)と叢生(前歯のでこぼこ)と切端咬合(ぶつかる咬み合わせ)の症状|抜歯による矯正治療|(東京都世田谷区・30代男性 )
●治療法:
インビザライン
●抜歯:
下1本(大臼歯)
●費用:
約70万円(調整費、保定費まで含む総額制)
●リスク・副作用:
痛み・治療後の後戻り・歯根吸収・歯髄壊死・歯肉退縮
ーーーーーーーーーーーーーーーーーーーーーーー
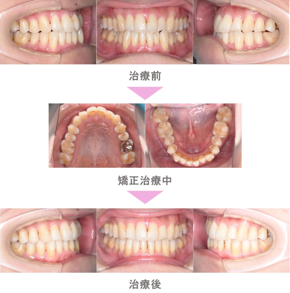
インビザライン矯正(マウスピース矯正)の症例のご紹介です。この患者様は、東京都世田谷区内からご来院の30代男性で、八重歯(犬歯突出)と叢生(前歯のでこぼこ)と切端咬合(ぶつかる咬み合わせ)の症状がありました。治療法はインビザライン矯正。3本抜歯で矯正治療を行い、キレイな歯並びになりました。
当院ではできる限り非抜歯での治療を目指しておりますが、症状によっては抜歯による矯正治療を行う方が良い場合があります。
歯並びのことでお悩みなどがある場合には、二子玉川駅前矯正歯科までご相談ください。初診相談は無料です。
矯正治療の流れ(初診相談~メインテナンスまで)
https://futakost-ortho.com/flow





